- Home
- マウスピース矯正
負担の少ない矯正治療「マウスピース矯正」
歯並びが気になる方へ~マウスピース矯正~

従来のワイヤーを使用した矯正治療は、特にワイヤー調整時に痛みが出やすく、ワイヤーが目立ってしまうデメリットがありました。一方、マウスピース矯正は比較的痛みが少なく、装置が目立ちにくく取り外せる矯正治療です。
マウスピース矯正では、患者さんの詳細なデータをもとにして透明で目立ちにくいマウスピースを作製します。少しずつ理想の歯並びに近い形状のマウスピースに交換していくことで、目的の場所まで歯を動かします。
マウスピース矯正なら神戸三宮ヨシダファミリー歯科・矯正歯科クリニック
神戸三宮ヨシダファミリー歯科・矯正歯科クリニックは、神戸市三宮で特にマウスピース矯正に力を入れている歯科医院です。矯正の効果はもちろんのこと、耐久性なども追及したオーダーメイドのマウスピースをご提案します。
ワイヤーを使用した従来の矯正治療は、目立ってしまったり痛みが出やすかったりといった負担があるものでした。その点、マウスピース矯正は透明で目立たず、比較的痛みを抑えられます。また食事やブラッシング時に取り外せるため、これまで通りの食事を楽しみやすく、清掃性が高いのもメリットです。
当院では、矯正治療を受けるのが初めての患者さんでも安心して治療に臨めるように、丁寧なご説明を行ったうえで施術しています。マウスピース矯正について知りたい方は、お気軽にご相談ください。
当院の取り扱いマウスピース矯正
-
インビザライン
インビザラインはアメリカのアライン・テクノロジー社が開発した世界で最も治療実績の多いマウスピース矯正システムです。多くの症例に基づいたシミュレーションによって治療を進めることが可能です。
-
エンジェルアライナー
エンジェルアライナーは、エンジェルアラインテクノロジー社によって開発されたマウスピース矯正システムです。CTとの連携に強く、リスクを回避した精度の高いシミュレーションが可能です。
インビザライン
「インビザライン」は、患者さん一人ひとりの口腔内に合わせてオーダーメイドで設計された透明なマウスピースを使用する矯正治療です。大人の歯を矯正する場合、従来は目立つワイヤーを使用する矯正方法が一般的でしたが、インビザラインなら周囲に気づかれずに矯正を進めることも可能です。
プラチナ・プロバイダー認定

インビザラインを使用した治療がうまくいくかどうかは、担当する歯科医師の経験や実績、そして技術力が大きく関わっています。技術力は、その医師がどれくらいの症例実績を持っているかで判断できます。当院の院長は、年間一定数以上のインビザラインの症例実績が認められ「プラチナ・プロバイダー」という認定を受けています。
当院はオンライン診療が可能です

専用アプリを使用しスマホでお口の画像を撮影していただきます。(撮影は専用の機械を利用していただくので簡単です!)
患者様が撮影したデータはAI(人工知能)で解析されて、歯科医師と患者様にレポートが送られます。
ドクター×AIで矯正治療をサポート!

専用アプリを使用しスマホでお口の画像を撮影していただきます。(撮影は専用の機械を利用していただくので簡単です!)
患者様が撮影したデータはAI(人工知能)で解析されて、歯科医師と患者様にレポートが送られます。
このような情報が送られます
☑アライナーと歯のフィットができているか?
☑装置が壊れていないか?
☑歯がキレイに磨けているか?
使用するメリット
☑来院間隔を伸ばせる
☑ドクターによるチェックが頻繁される
☑治療へのモチベーションが上がる
インビザラインの特徴
幅広い症例に対応

出っ歯や受け口をはじめ、さまざま症例の治療に対応しているほか、小さな子どもから大人まで使うことができます。
精密な治療

インビザラインは患者さんのお口に合わせて3次元画像技術やCAD/CAM技術を活用してカスタムメイドされており、非常に高い治療精度が得られます。
豊富な治療実績

インビザラインシステムは、全世界で1000万人以上の患者さんから得られた臨床データが反映されており、現在も進化を続けています。
目立たない

透明なマウスピースを装着するだけで矯正できるため、ワイヤーの矯正装置のように目立つことがありません。また、口腔内の粘膜を傷つけにくく、金属アレルギーのリスクがありません。
取り外しができる

食事中やブラッシング時には取り外しができるため快適に使い続けられるほか、結婚式の写真撮影の際なども安心です。
歯の動きを確認できる

インビザラインでは矯正治療の開始前に矯正後の歯の状態をシミュレーションすることができます。治療後の状態を知りたい方にもおすすめです。
精度の高い矯正治療を実現するために
3Dスキャナー iTero Element5Dプラス
マウスピース矯正を行う際に重要なのは、患者さん一人ひとりのお口に合った矯正装置を作ることです。従来はシリコン印象材による型取りが行われていましたが、精度は高くありませんでした。
当院では、より精密かつ迅速に型取りを行うために、最新鋭の3D光学スキャニングシステムを搭載した口腔内スキャナー「iTero Element5Dプラス」を導入しています。

クリンチェックでのシミュレーションがより精度の高いものになりました。
CBCT(コーンビームCT)のデータと統合して使用できるようになり、
歯牙の根は勿論、歯槽骨や顎骨の状態、又は歯根の動きまでもが、シミュレーションできるようになりました
これにより、今まで以上に精度の高い矯正治療、より幅広い症例に対応できるようになりました。
CBCT統合機能で より精密な診断が可能に
-
STEP①口腔内をiTeroでスキャン
-
STEP②CTスキャンしたデータから歯牙、歯根および歯槽骨を検出して、アイテロでスキャンしたデータを統合させます
-
STEP③歯冠、歯根および歯槽骨を1つの3Dモデルとして視覚化でき、より精密な治療計画の立案が可能に
クリンチェック
「クリンチェック」とは、インビザライン専用のソフトウェアです。アメリカのアライン社に型取りデータを送付することで返送されてくる3Dデータと治療計画を確認できます。
治療計画の確認後、修正点などがあった場合は修正の指示を出すことができ、問題なければそのままマウスピースの製作に移ります。

歯科用CT
レントゲン写真は患者さんの口腔内の平面的なデータしか取れませんでしたが、歯科用CTを使うことで3次元的なデータを取ることができます。
歯科用CTによるデータを活用すると、歯や顎はもちろん、その周辺組織の細かな部分まで確かめられます。

エンジェルアライナー
エンジェルアライナーとは

2003年に中国で開発されたアジア発のマウスピース矯正ブランドです。高いクオリティと精密な設計技術により、50カ国以上で展開されています(2025年時点)。透明で目立ちにくく、インビザラインと比較して費用を抑えられるのも特徴。近年日本進出したマウスピース矯正のため日本では新しいですが、長い歴史と実績を持つグローバルな矯正システムです。
エンジェルアライナーの特徴
インビザライン同様、透明で取り外しが可能

透明な素材で作られているため装着していてもほとんど目立ちません。食事や歯磨きの際には取り外しができるので、日常生活を快適に過ごしながら矯正治療を進められます。
アジア人向けの設計

アジア人の歯列データを活用して作成されるため、日本人の骨格や歯並びに適した高精度な矯正が可能です。豊富な治療実績データに基づいた精密な矯正計画が特徴です。
グローバルな実績がある

2003年の誕生以来、現在は50カ国以上でグローバル展開を進めています。豊富な治療データと実績により、信頼性の高い矯正治療を提供しています。
安心の価格帯

他のマウスピース矯正ブランドと比較して治療費を抑えた設定となっており、より多くの方に質の高いマウスピース矯正治療を受けていただける選択肢となっています。
料金表
インビザラインの料金について
インビザライン料金(全体矯正)【安心のトータルフィー制度】




| 矯正相談 | 0円 |
|---|---|
| 精密検査 | 22,000円(税込) |
| 全体矯正(5年保証) | 880,000円(税込) →学生・新社会人限定:800,000円(税込) ※精密検査費用(通常2万円)が含まれます! ※諸条件あり。条件についてはこちら |
| 全体矯正(3年保証) | 770,000円(税込) |
| 全体矯正(軽度な場合) | 660,000円(税込) |
| 保定装置 | 1セット:22,000円(税込) 3セット:55,000円(税込) |
| 調整費用 | 0円 ※他院でメインテナンスを受けられる場合は¥3,300かかります。 |
※精密検査費に関しましては、実施キャンペーンや諸条件によりお安くなる場合もございます。
※学生・新社会人の方の特別キャンペーンについて
学生・新社会人で治療を受けていただける方へマウスピース矯正(全体矯正)を特別価格でご提供させていただきます。
無料相談からご契約をいただけた場合は、精密検査費用(通常2万円)はかかりません。
適応条件:学生 or 2026年春からの新社会人であること+メンテナンスに当クリニックへ通っていただける方
(学生の方は学生証をご提示ください)
インビザライン料金(部分矯正)
| 矯正相談 | 0円 |
|---|---|
| 精密検査 | 22,000円(税込) |
| 治療費用(部分矯正※7枚まで) | 385,000円(税込) |
| 治療費用(部分矯正※14枚まで) | 495,000円(税込) |
| 保定装置 | 1セット:22,000円(税込) 3セット:55,000円(税込) |
| 調整費用 | 0円 ※他院でメインテナンスを受けられる場合は¥3,300かかります。 |
オプション
| 歯科矯正用アンカースクリュー | 1本:11,000円(税込) |
|---|---|
| インビザライン前処置・リカバリー | 11,000~220,000円(税込) |
| 補綴前処置・限局矯正・エキストリュージョン・空隙閉鎖・対合歯のイントリュージョン等 | 1箇所:110,000~165,000円(税込) |
エンジェルアライナーの料金について
| 矯正相談 | 0円 |
|---|---|
| 精密検査 | 22,000円(税込) |
| 全体矯正(両顎・5年保証) | 660,000円(税込) ※症例の難易度がより高い場合は770,000円の可能性がございます。 |
| 部分矯正(両顎・1~3年保証) ※軽度な場合(10~30枚まで) |
305,000円~385,000円(税込) |
| 保定装置 | 両顎3セット:33,000円(税込) 片顎3セット:27,500円(税込) |
| 調整費用 | 0円(税込) ※他院でメインテナンスを受けられる場合は¥3,300かかります。 |
補助装置について
マウスピース型の矯正装置で矯正治療を行った場合、補助する目的でブラケットや顎間ゴムなどを利用することがあります。これらを「補助矯正装置」といいます。
マウスピース型矯正装置と併用することで、難しい症例においても患者様負担を減らすことができ、トータルの治療期間の短縮にも期待できます。
補助矯正装置の種類
-
顎間ゴム
-
セクショナル
アーチ -
セルフ
ライゲーション型
ブラケット
ワイヤー矯正の取扱いについて
当院ではマウスピース装置を用いた矯正治療だけではなく、通常のワイヤー矯正もご提供しております。患者様のお口の状態やライフスタイル・ご要望に合わせてご提案させていただきます。
セルフライゲーションブラケット装置(デーモンシステム)
当院のワイヤー矯正治療はデーモンシステムという、ブラケットにワイヤーを軽く接触させることで、ブラケットとワイヤーの摩擦を抑えられる矯正方法です。
デーモンシステムの特徴
・従来の矯正装置よりも歯周組織にかかる負担が少ない
・ブラケットの周りがブラッシングしやすく、口腔内を清潔に保てる
・従来の装置よりも早く快適に歯を動かせる
歯科矯正用治療支援プログラム(インシグニア)
インシグニアシステムとは口腔内のスキャンデータから理想的な3Dモデルを作成することで、正確なブラケットポジションとカスタムメイドワイヤーを作製できます。
インシグニアの特徴
・口腔内のスキャンデータを用いることで、患者様の最適なブラケットをデザインできる
・正確なポジショニングにより、歯の動きに無駄が省かれ、治療期間の短縮と患者様の負担軽減が期待できる
症例紹介
症例1
症例2
症例3
インビザラインライト
-
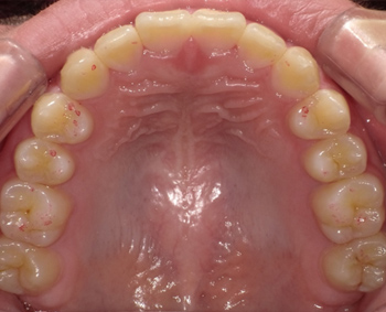
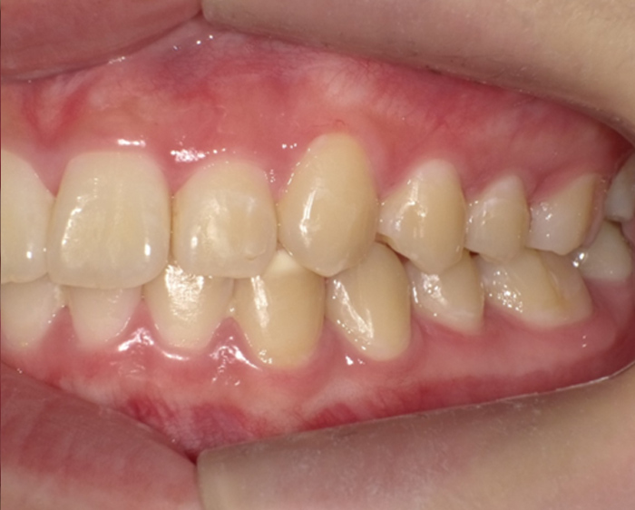
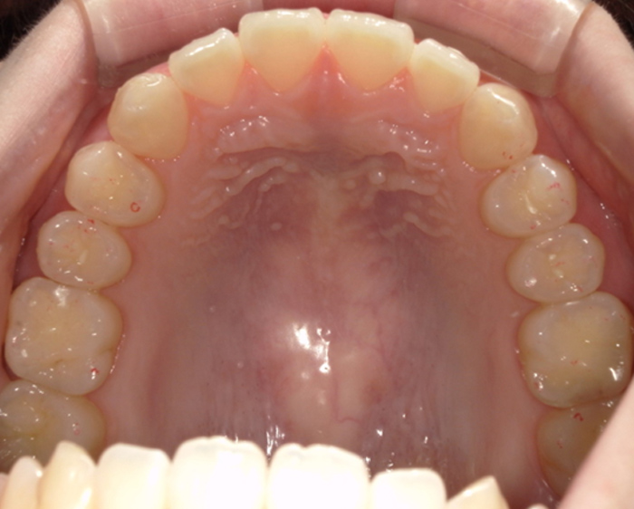
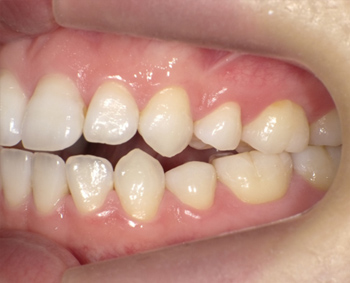
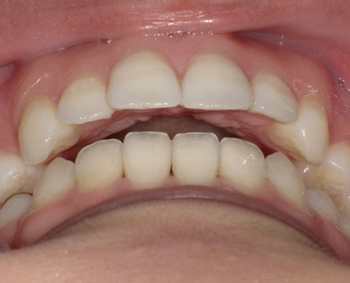
前歯の隙間が気になる
-
治療期間 約6カ月
| 主訴 | 前歯の隙間が気になる |
|---|---|
| 治療期間 | 6ケ月 |
| 来院回数 | 2か月に1回の来院 |
| 治療内容 | インビザラインコライトコース(通常より少ないマウスピースの枚数で治療を終わらせるコース)にて、前歯部の隙間を閉じ、咬合関係を改善する。 治療後、保定装置にて保定 |
| 治療費用 | 診査診断費用 ¥22,000-(税込) 治療費用 ¥478,000-(税込) 保定装置費用 ¥55,000- |
リスク・副作用
・患者様によっては歯並びやお口の状態により、インビザラインのみでは治療が難しいことがあります。
その場合、ワイヤー矯正と併用することがあります。
・インビザラインは1日20時間以上装置を装着する必要があります。
装着するのを忘れるまたは装着時間が短いと効果が出にくくなることがあります。
・インビザラインは就寝時も装着する必要があります。強い歯ぎしりや食いしばりにより破損する場合があります。
・新しい装置に変えてから2~3日は痛みや違和感、話しづらさが出ることがありますが、多くの場合数日でおさまります。
※個人差があります
