- Home
- 子どもの歯並び(小児矯正)
お子様を正しい歯並びに導く小児矯正
神戸市三宮の歯医者「神戸三宮ヨシダファミリー歯科・矯正歯科クリニック」では、お子様の歯並びを改善するための矯正治療を行っています。
お子様の将来のためにも、お口の状態をじっくりと見て適切な矯正治療を検討し、処置しています。
お子様一人ひとりの歯並びに合わせて最適な治療を行いますので、お子様の歯並びの乱れなどでお悩みの方は、
まずは当院までお気軽にご相談ください。
小児矯正について
小児矯正の基礎知識

小児矯正とは、お子様が小さいうちに歯並びや咬み合わせなどの問題を解消するための治療です。成長期の時期に歯並びや咬み合わせの問題を放置してしまうと、見た目が悪くなってしまうだけでなく体の成長や健康にまで悪影響を与えてしまうことがあります。
矯正治療は大人になってから行うこともできますが、抜歯など負担が大きくなります。その点、小児矯正ならお子様の成長を生かし、体への負担を抑えながら進められるメリットがあります。
歯並びが乱れる原因

歯並びが乱れる原因にはさまざまなものがありますが、大きな原因とされているのは固い食べ物をあまり食べず、柔らかいものばかり食べる食生活に変わってきたことです。「咬む」という行為は食べ物を咀嚼するだけでなく顎の骨の発達も促します。乳歯の時点で顎が十分に発達していないと、サイズの大きな永久歯は顎に入りきらず、歯並びの乱れにつながってしまいます。
その他にも、日ごろのクセが歯並びの乱れにつながることもあります。成長期のお子様の骨格は柔らかいため、ほおづえやうつぶせ寝、指しゃぶりなどを繰り返すことで歯が動いてしまうことがあり、気づかないうちに歯並びが乱れてしまいます。
小児矯正を行うメリットと行わないデメリット
-
小児矯正をするメリット
- 歯並びが整って見た目が良くなる
- 十分に咀嚼できるため消化にいい
- 発音がしやすくなる
- 体全体の健全な成長を促しやすい
- 矯正治療が必要になったとき抜歯のリスクが減る
- 後戻りが少ない
-
小児矯正をしないデメリット
- 歯並びが治らない
- 矯正治療で抜歯になる可能性が高い
- 外科手術が必要になる可能性がある
- 大人になってからの矯正では治療後の後戻りが起こりやすい
指しゃぶりと歯並びの関係
赤ちゃんが親指をくわえて吸うようなしぐさを「指しゃぶり」と言います。幼児でもクセとして続けてしまっている子どももおり、実は指しゃぶりが歯並びの乱れにつながることがあります。
指を吸うと、その吸う力によって上顎の歯列が狭くなっていきます。これが続くと、上顎の前歯が前に出てくる「出っ歯」や、上下の歯が咬み合わなくなる「開咬(かいこう)」になることがあります。
-
出っ歯
上の前歯が大きく前に傾いていたり、上の歯並び全体が前に出ていたりする状態です。出っ歯になると、前歯で食べ物が咬みにくくなるほか、発音も不明瞭になります。
-
開咬
歯を咬み合わせたときに、上下の前歯がしっかりと咬み合わずすき間ができている状態です。前歯で咬むことができず奥歯の負担が大きくなるほか、発音も不明瞭になります。
指しゃぶりが気になる方へ
3歳未満の場合
指しゃぶりは歯並びが乱れる原因になるクセですが、実は赤ちゃんや小さなお子様の精神発達段階には必要な反応です。そのため、3歳未満であれば無理にやめさせず、様子を見るようにしてください。ただし、3歳になっても指しゃぶりを続けて、歯並びが気になってきたらやめさせる方向に持っていきましょう。
3歳以上の場合
3歳を過ぎても指しゃぶりをしてしまうお子様はいますが、実は1日のうち6時間以上指しゃぶりが続かなければ、ほとんど問題はないと言われています。寝る前に少し指しゃぶりをしたり、機嫌が悪いときなどに指しゃぶりをしたりする程度であれば、様子見でかまいません。ただし、あまりにも長時間指しゃぶりが続くようなら注意しましょう。
当院の小児矯正診療メニュー
インビザライン・ファースト/エンジェルアライナー

当院では、顎の成長をコントロールできるマウスピース型のお子様向け矯正治療「インビザライン・ファースト」「エンジェルアライナー」を採用しています。インビザライン・ファーストでは、顎の成長をコントロールする治療と歯並びを整える治療を同時に行うことができるほか、乳歯と永久歯が混在する時期でも使用できるメリットがあります。
大人が使用するインビザラインと同じように、食事の際などには自由に取り外しができるほか、透明で薄い素材で作られているため目立ちにくい特徴があります。
顎顔面矯正

顎の骨全体を大きく広げて歯が正しく並ぶようにする治療を「顎顔面矯正」と言います。当院では「急速拡大装置」という装置を使用して、顎を広げていきます。一般的な矯正装置は歯に取り付けて歯を動かしますが、顎顔面矯正では顎の骨全体に作用することが特徴です。
お口周りの筋肉の矯正

一般的な矯正治療は歯を動かして歯並びを整えますが、「Myobrace(マイオブレース)」や「Preortho(プレオルソ)」というマウスピース型の装置を装着し、お口周りの筋肉の動きを矯正して歯並びを整える方法もあります。他にも、矯正装置を装着して専門家の指導のもとトレーニングを行って歯並びを整える「筋機能訓練(MFT)」といった方法もあるため、歯並びの状況に応じて最適な方法を選びましょう。
インビザライン・エンジェルアライナーの料金
| 矯正相談 | 0円 |
|---|---|
| 精密検査 | 44,000円(税込) |
| インビザラインファースト | 385,000~495,000円(税込) ※治療年数によって変わります。 |
| インビザラインファースト2ndフェーズ (3年保証) |
390,000円(税込) |
| エンジェルアライナーキッド (一期治療・2年保証) |
440,000円(税込) |
| エンジェルアライナーキッド (二期治療・5年保証) |
495,000円(税込) |
| 調整費用 | 0円(税込) ※他院でメインテナンスを受けられる場合は¥3,300かかります。 |
※ファミリー割引もございます。詳しくはスタッフまでお声がけください。
症例紹介
症例1
インビザラインファースト
-
前歯の凸凹が気になる
-
治療期間 約1年
この状態で永久歯と交換するのを待って、
必要なら、最終的な矯正治療を開始します。
必要なければ、完了です。
| 主訴 | 前歯の凸凹が気になる。(叢生及び開口) |
|---|---|
| 治療期間 | マイオブレースによる治療期間約6ケ月 インビザラインファースト約1年 |
| 来院回数 | 2~3か月に1回の来院 |
| 治療内容 | マイオブレース及びインビザラインファーストコースにて、前歯部の開口及び上下顎4前歯(前歯)を正しい位置に誘導し、6歳臼歯の咬み合わせを、しっかりとさせ、他の乳歯が永久歯と交換するのを待つ。 |
| 治療費用 | 治療費用 ¥550,000--(診査診断費用及びインビザライン治療を開始するまでの補助的な治療も含む)(税込) |
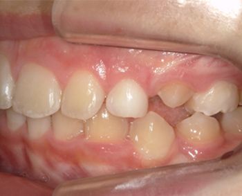
症例2
インビザラインファースト
-
前歯の隙間が気になる
右下の糸切り歯が抜けたところです。
-
治療期間 約1.5年
この状態で永久歯と交換するのを待って、
必要なら、最終的な矯正治療を開始します。
必要なければ、完了です。
| 主訴 | 前歯部の突出感 |
|---|---|
| 治療期間 | インビザラインファースト約1年6カ月 |
| 来院回数 | 2~3か月に1回の来院 |
| 治療内容 | インビザラインファーストコースにて、前歯部の突出感及び上下顎4前歯(前歯)を正しい位置に誘導し、6歳臼歯の咬み合わせを、しっかりとさせ、他の乳歯が永久歯と交換するのを待つ。 |
| 治療費用 | 治療費用 ¥550,000--(診査診断費用を含む)(税込) |
リスク・副作用
・患者様によっては歯並びやお口の状態により、インビザラインのみでは治療が難しいことがあります。
その場合、ワイヤー矯正と併用することがあります。
・インビザラインは1日20時間以上装置を装着する必要があります。
装着するのを忘れるまたは装着時間が短いと効果が出にくくなることがあります。
・インビザラインは就寝時も装着する必要があります。強い歯ぎしりや食いしばりにより破損する場合があります。
・新しい装置に変えてから2~3日は痛みや違和感、話しづらさが出ることがありますが、多くの場合数日でおさまります。
※個人差があります